taptap官方网页入口
National Clinical Research Center for Geriatric Disease (XiangYa Hospital)
下载专区
  • 首页 >> 公共服务 >> 科学普及 >> 正文
  • 疼痛就像打地鼠,揭开慢性复发性多灶性骨髓炎的折磨|全科带您查原因(二十三)

    发布时间:2025-08-22

    指导专家

    中南大学湘雅医院全科医学科 刘俊 副主任医师

    中南大学湘雅医院骨科 万军 副主任医师


    病例简介


    吴某某是一名46岁的中年男性,深受关节疼痛困扰12年。从30多岁开始,他的双手掌指关节就反复疼痛肿胀,逐渐变形,肘关节、腕关节活动受限,无皮疹、腰痛、发热等其他症状。1年前还因左手第5手指关节肿痛难忍,诊断为慢性骨髓炎使用抗生素治疗无明显改善,患者疼痛难忍,最终在当地医院予以手术切除。然而,患者其他关节疼痛仍反复发作,需长期服用止痛药物,停药复发,病痛折磨数十年,苦恼不已。本次患者右手食指关节、左足踇趾关节疼痛难忍,为明确清楚反复关节疼痛的原因,前来湘雅全科门诊就诊,门诊以“关节痛查因”收住到全科病房。

    undefined



    入院后完善了一系列检验检查

    三大常规、肝肾功能电解质、凝血功能未见明显异常。类风湿因子、狼疮全套、免疫全套、HLA B27无明显异常,仅有CRP及IL-6有轻度升高。


    彩超腕关节(单侧),彩超肘关节(双侧)

    1.右肘关节骨皮质毛糙;2.右腕关节、左肘关节超声扫查未见明显异常。


    左足正侧位(站立),双手正位放射

    1.右手第3远节指骨及左手第5指骨部分缺如:请结合临床病史。2.右侧第2近端指间关节间隙变窄、双侧部分近端指间关节稍肿胀:原因待查,类风湿性关节炎?建议结合临床及相关实验室检查。

    undefined

    图A:所示患者指骨手术切除及右手食指关节肿胀


    磁共振左足平扫增强

    左足第一跖骨、第一足母趾近节趾骨、第一趾远节趾骨及第三趾中节趾骨多发异常信号灶,周围软组织肿胀,性质待定:炎症?请结合临床。

    undefined

    图B:患者趾骨水肿


    患者多关节肿胀疼痛,活动受限,反复发作,结合外院小指切除病理回报:慢性骨髓炎,以及我院相关检验检查结果,经过与风湿科、骨科、影像科多学科会诊,最终,导致患者10多年来关节疼痛的元凶终于被解开——慢性复发性多灶性骨髓炎。

    undefined

    经过激素抗炎+免疫抑制、止痛等对症支持治疗后,患者关节肿胀明显好转,目前定期于门诊随访。




    全科科普时间


    01

    什么是慢性复发性多灶性骨髓炎


    慢性复发性多灶性骨髓炎CRMO,Chronic Recurrent Multifocal Osteomyelitis)是一种罕见的自身炎症性骨疾病,多见于儿童和青少年,其特征为:多灶性骨质破坏(常见于长骨、锁骨、脊柱等);慢性复发性病程:症状反复发作,可持续数年;无明确感染证据:细菌培养阴性,抗生素治疗无效。

    undefined

    图C:CRMO的临床表现:好发部分及伴随疾病

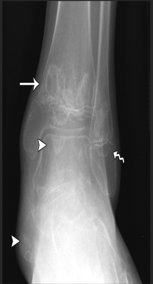
    undefined

    图D 踝部多发溶骨改变

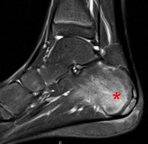
    undefined

    图E:MRI根骨水肿




    02

    临床表现


    症状:最常见的部位为长骨干骺端,好发部位依次为胫骨远端、胫骨近段、骨盆、股骨近端、锁骨和跟骨。椎体也可受累,多发生在胸椎,其次为腰椎、颈椎;胸骨、锁骨、下颌骨也可受累。一些患者有骨骼外表现,如银屑病、掌跖脓疱病、克罗恩病及痤疮等。

    undefined

    特点:反复发作,病程>6个月,抗生素治疗无效。


    关联疾病:可合并银屑病、炎症性肠病、掌跖脓疱病等。


    影像学检查:

    X线:早期可正常,后期可见溶骨性破坏、骨质硬化或骨膜反应。

    MRI(金标准):T2加权像高信号(骨髓水肿),增强后强化,可发现早期无症状病灶。
    全身骨显像(PET/骨扫描):检测多灶性病变。


    实验室检查:
    非特异性炎症标志物(ESR、CRP)可能轻度升高,但部分患者正常。


    病理活检:
    非化脓性炎症(淋巴细胞、浆细胞浸润),需排除感染和恶性肿瘤(如骨肉瘤、淋巴瘤)。


    诊断标准:
    目前有janssonbristol标准

    Jansson标准

    主要标准:

    1.影像学证实有溶骨性/硬化性骨破坏

    2.多发性骨破坏

    3.掌跖脓疱病或银屑病

    4.骨活检提示无菌性炎症和/或纤维化,硬化症迹象

    次要标准:

    1.血细胞计数正常,一般健康状况良好

    2.CRP和ESR轻度至中度升高

    3.观察时间大于6个月

    4.骨质增生

    5.与除掌跖脓疱病及银屑病之外的自身免疫性疾病相关

    6.Ⅰ/Ⅱ级亲属患有自身免疫性/自身炎性疾病/非细菌性骨髓炎

    诊断:≥2个主要诊断标准或1个主要诊断标准加3个次要诊断标准


    Bristol标准

    必备标准

    1.典型的临床表现(骨痛+/-,局部肿胀,无明显局部或全身炎症或感染特征)。

    2.典型的影像学表现(特别是STIR MRI提示骨髓水肿+/-,骨膨胀,骨溶解和骨膜反应,或平片提示同时存在骨溶解、骨硬化和新生骨形成)。

    加以下1条:

    A. 超过1处骨骼(或锁骨单独)受累,而CRP没有明显升高(CRP<30mg/L)。

    B. 锁骨以外的单灶性疾病,或CRP>30mg/L,及骨活检显示炎症改变(浆细胞、破骨细胞、纤维化或硬化),且未接受抗生素治疗时无细菌生长。


    ⚠️本病需与感染性骨髓炎、白血病、淋巴瘤、骨LCH、骨肿瘤、慢性关节炎、肌肉骨骼疼痛综合征等相鉴别。




    03

    如何治疗?


    一线治疗:
    非甾体抗炎药(NSAIDs):如布洛芬、萘普生,用于轻症患者(4-6周疗程,可缓解症状)。
    糖皮质激素:短期用于急性加重(如泼尼松0.5-1 mg/kg/d),但需谨慎长期使用。


    二线治疗(难治性或多灶性病例):
    双膦酸盐:帕米膦酸钠(抑制破骨细胞,改善骨重塑)。
    DMARDs:甲氨蝶呤、柳氮磺吡啶(合并关节炎或皮肤病变时)。
    一些生物制剂:TNF-α抑制剂(如阿达木单抗、依那西普)、IL-1拮抗剂(如阿那白滞素)。

    undefined

    其他治疗:
    物理治疗(维持关节功能)。
    手术:仅用于活检或严重骨畸形矫正。




    湘雅疼痛多学科门诊来啦


    单一科室难以覆盖疼痛的复杂性,湘雅医院疼痛MDT门诊提供“精准评估—分层治疗—长期管理”全流程服务,团队阵容包括:全科医学科牵头 | 疼痛科 | 骨科 | 康复科 | 药剂科。疼痛MDT门诊具有三大核心优势:


    01疼痛病因溯源

    通过病史询问、查体、实验室检验/检查缜密的临床思维锁定“真凶”。


    02个体化诊疗方案

    针对炎症性/神经性/肿瘤性/心因性等疼痛定制药物、微创或心理干预。


    03多学科诊疗团队

    全科医学科、疼痛科、骨科、康复科、药剂科等多学科协同疼痛管理。

    undefined


    您需要疼痛MDT门诊就诊吗?


    这些情况建议就诊:

    ⚠️疼痛持续超过3个月,常规治疗无效

    ⚠️疼痛病因不明,或反复因疼痛就诊未确诊病因

    ⚠️伴随麻木、无力、情绪低落等复杂症状

    ⚠️已确诊但疼痛控制不佳


    就诊流程:

    1.初筛评估:全科医学科、疼痛科或其他接诊医生初步筛查,诊断不明;

    2.多学科会诊:“疼痛MDT门诊”(每周四上午10点-12点),专家团队联合会诊并制定方案;

    3.长期随访:建立档案,动态调整治疗。

    undefined

    疼痛不是“忍一忍”就能过去的事,

    找准病因,才能精准打击!



    全科刘俊教授点评


    慢性复发性多灶性骨髓炎是一种罕见的自身炎症性骨疾病,多见于儿童和青少年,全科每月均会收治许多疼痛患者,我们要提高对CRMO的认识,对于中青年慢性骨痛患者,若抗生素无效,也需要考虑CRMO,诊断过程中,影像学(MRI)比X线更敏感,应尽早完善。关节疼痛在全科临床实践中是非常常见的症状,首诊后,应联合风湿免疫科、骨科、影像科等组织多学科协作(MDT),诊断及治疗方案确立后,需要患者长期随访,CRMO易复发,需定期监测炎症指标和影像学变化,对患者加强宣教,避免剧烈运动,预防病理性骨折,保持健康生活方式,增强免疫力。



    骨科万军教授点评


    慢性复发性多灶性骨髓炎初诊易误判为感染性骨炎或骨肿瘤。经骨活检排除感染及恶性肿瘤后确诊,结合掌跖脓疱病病史,符合CRMO特征。NSAIDS治疗症状一度缓解,但停药后复发,提示需长期维持治疗。需注意本病易与脊柱关节炎、感染性骨髓炎混淆,诊断依赖影像-病理联合评估;治疗需多学科协作(风湿科、皮肤科),除抗炎外应关注骨代谢调控。随访中需动态监测炎症指标、骨密度及新发病灶,重视患者心理干预,降低复发对生活质量的影响。



    参考文献


    1.Chronic Recurrent Multifocal Osteomyelitis (CRMO): Presentation, Pathogenesis, and Treatment. Curr Osteoporos Rep 2017 Dec;15(6):542-554. doi: 10.1007/s11914-017-0405-9.

    2.Chronic recurrent multifocal osteomyelitis: diagnosis and treatment.Curr Opin Pediatr. 2021 Feb 1;33(1):90-96. doi: 10.1097/MOP.0000000000000970.

    3. Chronic recurrent multifocal osteomyelitis in children and adults: current understanding and areas for development. Rheumatology (Oxford) . 2018 Jan 1;57(1):41-48. doi: 10.1093/rheumatology/kex066.

    4. Chronic Recurrent Multifocal Osteomyelitis. MRI Web Clinic - August 2022


    备案号:湘ICP备05006292号


    Baidu
    taptap点点官网
    收藏